WFU

2024年12月15日 星期日

如何阻止心血管疾病發生,不要出事才遺憾?

      

     
    

      71 歲的袁先生向來覺得身體不錯,並不抽煙。退休後只偶而小感冒,也懶得去健檢。最近夏天很熱,某天早上去散步完突然覺得胸口很悶,還併隨冒冷汗。撐到晚上還是沒改善,只好去醫院急診。心電圖有aVR導程ST波段上升,廣泛的ST波段下降(圖一)




      醫師覺得事態嚴重,趕緊將袁先生推去做心導管檢查,結果是最可怕的冠狀動脈左主幹阻塞(圖二)!心臟等於失去三分之二以上的血流!




   心導管過程極度危險,還發生低血壓休克。心臟科醫師費盡九牛二虎之力,才將狀況穩定下來。之後袁先生和家人都覺得奇怪,已經不抽煙了,怎麼還會心肌梗塞?


初級預防(Primary Prevention)和次級預防 (Secondary Prevention)
    
    袁先生和家人的問題,就是關於心血管疾病的初級預防(Primary Prevention)問題。以白話來說(非嚴格學術名詞釋義),就是『如何一開始就不要讓心血管疾病發生』。次級預防 (Secondary Prevention)(非嚴格學術名詞釋義)就是『已經發病後如何預防再發及減少殘障』。
      
   廣泛的心血管疾病包括缺血性心臟病,各類周邊血管阻塞,中風,慢性腎臟疾病.....等。健保每年花費大量金錢在『發病後』的治療上(https://lihi1.cc/KLLo0)。新聞連結中的慢性腎臟疾病、第二型糖尿病、高血壓、慢性缺血性心臟病都與心血管疾病相關,個別耗費110億到500億不等!。如果能做好初級預防,不但能減少袁先生之類病患發生,也能為未來子孫省下健保費用支出,讓健康照護可長可久。


預防心血管疾病之1-健康飲食

目前對心血管有益處的是得舒飲食-(圖三)




(1)多吃蔬菜、水果類


(2)穀雜糧儘量的選用含麩皮的全穀類(如五穀米,糙米,至少2/3)
. 2021年新英格蘭期刊與英國醫學期刊都分別發表了,精緻澱粉, 如白麵包、營養麥片 (Breakfast cereal)、脆餅乾、麵條、麵包及甜點...等,會增加較高的死亡率及重大心血管疾病風險相關風險,不單單是因為糖尿病的緣故。

(3) 奶類最好是使用脫脂產品。


(4) 蛋白質豐富的食物類以豆製品、魚肉、家禽的瘦肉,白肉為主,少吃紅肉。蛋(或魚卵/帶殼海鮮)要適量,一天最多不超過半個蛋 

(5) 核果、種子每天最好都吃一小把(或約一湯匙的量)


(6) 烹飪時儘量不使用動物油脂,而是使用非熱帶產之植物油,像是橄欖油、 芥花油、沙拉油、葵花子油等都不錯。應多選擇烹飪用油少的菜餚,如涼拌、清蒸、 紅燒、水煮的菜餚。

(7)油炸食物宜避免。

(8)減少鈉鹽的攝取 ,採低鈉鹽飲食,每日食鹽量以不超過 5 公克為宜。 (5公克食鹽約 =1茶匙食鹽 =6茶匙醬油 =5茶匙味精 =6茶匙烏醋 =12茶匙蕃茄 醬)

(9)限制西點、糕餅,和其他含奶油、反式脂肪的加工食物,如:餅乾、薯 條、甜甜圈、洋芋片等油炸或烘焙食品, 都可能含有反式脂肪酸 。 以豆類、豆製品、禽肉、魚取代紅肉、內臟。 


預防心血管疾病之2-持續運動

      缺乏運動高居全球導致死亡的第四位危險因素,僅次於高血壓、吸菸、及肥胖, 依據國健署資料,相較於美國,台灣區中年民眾規則運動的比例偏低。 適量的身體活動不僅減少癌症及降低總死亡率,也可以改善認知功能、減重、 降低血壓、減少糖尿病罹病風險等,直接或間接降低心血管疾病(例如中風及心肌梗塞)罹病率及死亡風險。
    
    建議成年人 (18歲以上) 每週身體活動量為150分鐘以上的中等強度活動 ,即每週7.5MET*小時以上(MET可看圖四 )。  計算方式如下:

每週 :(MET運動強度) X (每周次數) X (持續時間小時) ,活動量的建議男女相同。    

     例如:王先生上周慢跑 2 次每次 1 小時 ,活動量即為8MET(慢跑)*每週2 次 *每次1小時 =16MET* 小時。      
     


     
      運動過量是否會造成反效果?以以上公式來說:對於降低總死亡率,每周活動 7.5~ 15 MET*小時可達到 70%的效益,15~ 22.5 MET*小時達到 90%的效益, 22.5~75MET*小時可達最大效益,超過此運動量 (75MET*小時) 反而效益開始減少。 比如80MET*小時=8MET(慢跑)*每週5次*每次2小時,就顯得過量。以此公式計算每週運動量,隨個人狀況逐漸加量,不需急著達標。


預防心血管疾病之3-體重控制,避免肥胖
    
    目前被推薦且廣為使 用的測量是 BMI 和腰圍。BMI :體重(公斤)÷ 身高(公尺)的平方。比如身高173公分,體重69公斤,BMI就是69(公斤)÷ 1.732(公尺)=23.0。BMI以 24 和 27 做為過重和肥胖的切點;而腰圍切點則分為男性 ≥ 90 公分, 女性≥ 80 公分。

    肥胖對成人身體、生理、或是功能上都有不良的影響,並且眾多研究已確認肥胖是心血管疾病的重要危險因子。一些統合分析可以看到相對於正常身體質量的人,肥胖 (BMI ≥ 30)的人有顯著較高的危險性發生新生糖尿病(男性 6.7 倍,女性 12.4 倍)、高血壓(男性 1.8 倍,女性 2.4 倍)、腦中風(1.5 倍)、冠狀動脈血管疾病 (男性 1.7 倍,女性 3.1 倍)、心衰竭(1.8 倍)。而體重過重的人(BMI ≥ 25, <30) 其發生上述之心血管疾病的風險雖較肥胖少,但對於所有心血管風險仍是均有顯 著的增加。

     減重首重健康生活型態,其實也就是遵循前兩點的健康飲食和運動原則,少吃高熱量食物,多運動即是。如有困難,也可赴減肥門診諮詢。


預防心血管疾病之4-定期健康檢查

      國民健康署有提供公費健檢,40歲以上未滿65歲民眾每3年1次、55歲以上原住民、罹患小兒麻痺且年在35歲以上者、65歲以上民眾每年1次成人健康檢查。相關院所都可以上網查詢。(https://taiwangov.com/ytLin
    
    定期健檢才能早期發現『三高』-高血壓,高血脂(包括膽固醇及三酸甘油脂),糖尿病。這些都是造成心血管疾病的危險因子。但三高危險之處在於,初期通常無感,甚至高血壓還號稱無聲的殺手,有典型症狀時(比如頭痛,頸部僵硬,或是多吃多喝多尿,體重下降...等)為時已晚,甚至有民眾是發生心肌梗塞或中風才知道所以必須靠定期的測量血壓,抽血檢驗才能早期發現。一旦確診,請遵循專科醫師指示改善飲食,生活習慣,以及用藥。



預防心血管疾病之5-完全戒菸
    
    吸菸會增加罹患心血管疾病以及死亡風險。吸菸者因心血管疾病死亡的風險是未抽菸者的2.07倍 ,而戒菸者 則降為 1.37 倍。即使一天只吸一根菸,女性與男性吸菸者發生冠心病風險比值 (與不吸菸者比) 分別 為 2.19 跟 1.74倍 。所以菸最好一根也不要抽!

      電子煙也並不安全,因為電子煙裡也含有各種化學物質,即使尼古丁量較低,仍對身體有害。根據一個 2014 年 和 2016 年美國國民健康訪問調查 69,725 位受訪者的研究顯示,每日吸食電子菸者罹患心肌梗塞還是比不吸菸者風險高1.79倍。

     三高的疾病可能和體質,遺傳有關,無法阻止其發病。而戒菸完全可以靠自己意志力達成!如果真的有困難,衛生福利部有「實施二代戒菸治療試辦計畫」,門診、 住院、急診或社區藥局都可依專業提供尼古丁替代療法以及戒菸藥物治療,減緩戒斷過程中的不適。 (https://taiwangov.com/jshbb


預防心血管疾病之6-年紀大不是藉口
    
    根據最新期刊的研究(Heart 2020;106:1035–1037),就減重,戒菸,運動三項重要的生活習慣改進,只要遵循醫囑指示,大於65歲以上的人還比65歲以下的人,比較容易達標,特別是減重。所以年紀大更要進行生活習慣改善,達標率不輸給年輕人。所有的總結如下圖,其實也就是首圖啊!


預防心血管疾病之7-有三高及早治療,不要迷信健康食品
   

    經常有人問所謂的健康食品,如大豆紅麴,魚油等,對降低血壓,血糖,尤其是對降低有害的低密度膽固醇(LDL),到底有沒有用?2023年1月在著名的美國心臟病學會雜誌(JACC)有個單一醫學中心研究(SPORT study),共199位壞膽固醇(LDL)升高(平均128.2 ± 23.4 mg/dL),之前並沒有任何動脈硬化疾病史,但10年動脈硬化心血管疾病(ASCVD)風險升高的患者(平均64歲;59%女性),隨機分配接受:
(1) 每日低劑量降膽固醇藥物(5 mg Rosuvastatin ,即冠脂妥)
(2) 安慰劑
(3) 其中一種保健食品(魚油、肉桂、大蒜、薑黃、植物固醇和紅麴

28天之後抽血,冠脂妥組在服用前後的壞膽固醇值下降百分比,顯著超過安慰劑組(平均降低35%)或任何保健食品組與安慰劑相比,六種保健食品均未能顯著降低壞膽固醇,大蒜反而與小幅壞膽固醇(達到統計顯著)升高相關。各組間的副作用發生率還沒有差異!

所以,有心血管風險的人,請遵醫囑,儘早使用合理的藥物治療,不要相信坊間廣告的所謂有神效的紅麴、魚油、大蒜⋯⋯等健康食品了!已經有嚴格的學術研究了,不要花大錢買沒有治療效果的保健食品!

此外,中華民國心臟學會於2024年11月將2023台灣慢性冠心症臨床指引節錄出十大重點,翻譯成中文, 希望能多推廣讓民眾理解。 雖然這只是有關於慢性冠心症的預防, 但是也有助於預防整體心血管疾病。 其中有些重點和坊間的鄉野傳說截然不同,林醫師在此特將重點標記:

(1) 大多數心肌梗塞發生於沒有嚴重缺血或狹窄的患者。提早預防能改善預後。

(2) 慢性冠心症時的初始侵入性策略(介入治療,多半是放支架,氣球擴張或外科繞道)並不能降低死亡率或是心肌梗塞風險,重點在於預防、控制危險因子。

(3) 只有在用藥後仍然有症狀、大面積缺氧、大範圍血管狹窄缺血引起收縮力減弱之心臟衰竭,才建議侵入性治療。(林醫師補充: 如果病情不幸進展到急性心肌梗塞或是不穩定心絞痛當然要趕快積極介入性治療)

(4) 生活形態控制加合適的藥物治療對所有慢性冠心症患者都至關重要,概括為「ABCDE-PS2」:(A)抗血小板治療、(B)血壓目標 < 130 mmHg、(C)低密度脂蛋白LDL-膽固醇控制至目標、(D)飲食適應、(E)運動、(P)較少PM2.5 暴露、(S)戒菸以及(S)減輕壓力。(林醫師補充: 除非是產生藥物的副作用,或是身體無法適應, 就算年紀大也要盡量將血壓血糖膽固醇達標。坊間流傳幾十歲以上就要放鬆控制血壓的說法, 反而會提高長期心血管疾病的機率

(5) 一般而言,所有慢性冠心症患者的低密度脂蛋白 LDL-C 目標均< 70 mg/dl。對於極度危險的慢性冠心症 CCS 患者,建議新的低密度脂蛋白 LDL-C 目標< 50 mg/dl










所以袁先生是?

     住院當中抽血才發現,袁先生原來有高膽固醇及糖尿病。因為過去沒有定期健檢,所以沒有早期發現,才導致心肌梗塞還休克的嚴重結果。心導管手術是把血管打通了,也平安出院了。但是袁先生自己覺得體力精神都有所減退,還得服許多藥物及復健。之後他都勸朋友引以為鑒,一定要養成好生活習慣,定期健康檢查啊!!


參考資料
J Am Coll Cardiol. 2023 Jan 3;81(1):1-12.

https://www.facebook.com/bookdigestor.tw/posts/pfbid02hCwiYH3RUWJP8LfPe9wXRU6gC7PC1Njuu4FBKRF4RHfaPpgaLyhHMtYYNCBjayCwl

https://www.tsoc.org.tw/upload/files/%E5%BF%83%E8%87%9F%E5%AD%B8%E6%9C%83TSOC%E6%85%A2%E6%80%A7%E5%86%A0%E5%BF%83%E7%97%87%E8%87%A8%E5%BA%8A%E6%8C%87%E5%BC%9510%E5%A4%A7%E9%87%8D%E9%BB%9E-20241107%E7%89%88.pdf






2024年8月11日 星期日

適量咖啡對心血管有益,也不會增加心房顫動發生率

    門診經常有人問喝咖啡對健康好不好?幸好有認真的同好已經找到相關的文獻。有2020年到2024年都有相關的醫學回顧文章。

先說結論:如果已有喝咖啡習慣的人,每天400mg的咖啡對健康生活有益。即是三到五杯的標準杯現煮無糖咖啡。標準杯指8盎司(即235ml)咖啡,約含60-90mg咖啡因。大概是星巴客或是7-11兩杯中熱美式或兩杯大熱拿鐵以內 沒有喝咖啡習慣的就不需要硬喝了。


上工前多久喝咖啡最好?

     咖啡因在飲用後45分鐘會完全吸收,血液中的咖啡因濃度在飲用後15分鐘至2小時達到高峰。平均半衰期約2.5-4.5小時。(看起來上工15分鐘前喝即可,效果平均可撐個2-4小時)


咖啡因會對我們身體產生什麼生理反應?

     腦:(1)增加認知能力及警覺力; (2).可能引發失眠及焦慮(尤其是高劑量或敏感族群);(3)降低憂鬱風險;(4)增加止痛藥的効果(100mg); (5)可能減少巴金氏症風險

    心血管短期使用會增加血壓,但長期飲者會適應。

    內分泌:短期使用會降低骨骼肌胰島素的耐受性,但長期飲者會適應。

    泌尿系統:高劑量時有利尿效果,但長期飲者會適應

(看起來咖啡因引發的少數不良反應是短期的,在長期飲用下幾乎都會消失。壞的會過去,好的會留下) 


咖啡對慢性疾病的影響?

心血管疾病:不會增加高血壓、心房顫動的風險、反而和冠狀動脈疾病、中風呈負相關。(中性偏好)

糖尿病:短期雖降低肌肉胰島素敏感性,但可增加肝臟對果糖的胰島素敏感性。故長期對血糖代謝無明顯影響。(中性)


每天建議的咖啡因劑量是?

每天一些無糖咖啡最有益處。成人每日不超過400mg孕婦及哺乳媽媽不超過200mg。(因每杯咖啡煮法不同,喝之前可看一下瓶罐標示。大概是星巴客或是7-11兩杯中熱美式或兩杯大熱拿鐵以內 。


咖啡有沒有過濾差很多!

過濾式的咖啡不會增加膽固醇;但非過濾咖啡會增加LDL(17.8mg/L)及11%重大心血管事件。文章的咖啡是指純咖啡。所以日常生活中會額外添加的牛奶、奶油、糖奶精等不在考量範圍。而且這些添加物還可能增高血糖血脂。


個人總評論:

咖啡好處比想像中的多,除了會影響睡眠外,故每天早上、下午(視情況)喝些現煮無糖咖啡值得推薦,比如一天總共1-2杯星巴克或7-11中杯熱美式之內。最好是不加糖或奶精的。部會增高血壓,也不會增加心律不整的發生率啦!


附帶提示:

   心房顫動患者常問林醫師,還能喝酒嗎?如果想積極治療,最好是完全禁酒,或是每周小於30gm,。大約每週少於600c.c啤酒,200c.cc紅酒,50c.c whisky。


感謝

https://www.facebook.com/bookdigestor.tw/posts/840191753466340
https://www.facebook.com/share/p/VM8zfvXpHqfShBaK/
https://www.facebook.com/share/p/7w676JDFcP1LXhnt/


參考文獻
1. Coffee, Caffeine, and Health. July 23, 2020 N Engl J Med 2020; 383:369-378 DOI: 10.1056/NEJMra1816604
2. Coffee consumption and incident tachyarrhythmias reported behavior, Mendelian randomization, and their interactions. JAMA Intern Med 2021 Jul 19
3. Habitual coffee consumption and office, home, and ambulatory blood pressure: Results of a 10-year prospective study. J Hypertens 2024 Jun; 42:1094
4. 2023 ACC/AHA/ACCP/HRS Guideline for the Diagnosis and Management of Atrial Fibrillation






2024年7月7日 星期日

2024 美國心律醫學會見聞之二

      來到HRS,一定要看看最新的研究發表late clinical breaking trials. 今年的特色是:每一個研究發表演講後,隨即有另一個專家上台講評,讓與會者即時聽到不同面向的思考。篇幅有限,林醫師僅提及印象最深的兩個。其一請見第一集。


     其二為植入性器材(Device)上發現的subclinical AF(臨床心電圖沒抓到過,只在植入性器材如心律調節器的紀錄上,有發現的心房顫動),是否需要抗凝血劑預防中風?在去年的 美國心臟協會年會(AHA)發表的ARTESiA trial, 歐洲心臟醫學會(ESC)發表的NOAH-AFNET 6 trial 個別顯示了艾必克凝(Apixaban)和里先安(Edoxaban),對於這類病人,預防中風有些許效果或甚至沒有效果, 但都一致增加了出血風險。到底何種subclinical AF病人,才屬於中風高風險而需要服用抗凝血劑?ARTESiA trial的次分析指出,對於原本CHA2DS2-VASC>4的病人,用艾必克凝比起用阿斯匹靈來,更能預防中風,出血風險則沒有差異。NOAH-AFNET 6的次分析,是關於之前有過中風的病人, 結果更訝異的發現,不管之前是否有無中風,用里先安或用安慰劑,對於預防未來的再次中風完全沒有差異。 之後講評的專家隨即提出深入的看法:1. 植入性器材上發現的subclinical AF 病人, 會發生中風的比例比以前的研究都低, 也許正是因為如此,做不出差異來。這類病人的中風風險評估不一定能適用慣用的CHA2DS2-VASC。2. 以往的ASSERT trial 隨著device發現的AF burden時間不同,中風風險也有不同, 希望以後能看到這方面的分析。3. 這兩個trial的病人過去中風史,真的是栓塞性中風嗎?還是有的是出血性或是血管阻塞性的? 這會不會也影響研究的解讀結果?……. 這一次HRS,林醫師收穫最大的就是專家講評。筆者認為這應該是歐美教育的傳統,鼓勵提問,鼓勵答辯。雖然是大會安排的講評,有的專家甚至隨即對剛剛發表的研究提出質疑, 在問答之間讓與會者都能互相腦力激盪,甚至產生後續的研究靈感。


     除了專業學術之外, 林醫師也找時間參觀了各家廠商,還有現場的Hands On手把手教學。畢竟最新醫材技術都會先應用於美國。 林醫師在Abbott的攤位的模擬器,學習到了如何放置心房的無導綫心律調節器(圖1)。 台灣目前只有心室的無導綫心律調節器。心房的無導綫心律調節器,預定明年(2025)會引進。目前發表的研究效果都不錯, 唯一的缺點是心房的無導綫心律調節器,電池平均壽命可能只有6到7年(心室的無導綫心律調節器電池平均壽命約10-12年,傳統的有導線心律調節器,電池壽命大約都有15到20年以上)。


圖1.


      林醫師也用過了4D 心腔內超音波ICE (也就是即時3D 心腔內超音波ICE)(圖2)。 對於進行複雜性心律不整電燒或者是結構性心臟病的介入治療,心腔內超音波直接進入心房裡面掃描,清晰度大為提高, 如果有3D或4D功能更能直覺的看到心臟和醫療導管器材的相關位置, 比如電燒導管或是左心耳封堵器。目前在台灣的一般心腔內超音波ICE自費價大約12萬, 健保有條件給付也要自費7萬元。有3D或4D功能的費用可能會更貴。在美國,這3到5年,即使一般電燒,都已經廣泛使用心腔內超音波ICE。


圖2.
     

      最後一個週日, 經由林醫師在MIT(麻省理工學院)工作的高中同學,有幸進入校舍參觀。MIT是開放式校園,並沒有特定的圍牆區域。美式校園的特色就是空間寬敞設備齊全(圖3,4)。還有相關的藝術作品在校舍擺放(圖5)。老師的實驗室和辦公室都有大型玻璃白板(圖6), 隨時可以將想法寫下討論研究。有些教室還是玻璃隔間可讓經過的人看到教學實驗過程(圖7)。至於研究經費方面,許多實驗室後面都有兩三家新創公司在支持,因為美國政府也不見得足以支付所有高等研究的經費。林醫師同學坦言:台灣學者只要和商業公司有所接觸,動輒就被司法高規格檢視,這讓某些想回國貢獻的海外優秀學者有所卻步。


圖3.


圖4.



圖5.


圖6.


圖7.
 

 

    這幾天是趟豐富的學術人文之旅,收穫頗豐。希望各位醫師同仁有機會一定要來國際學術會議多多交流學習,增廣見聞。



參考資料
N Engl J Med 2024;390:107-117 
N Engl J Med 2023;389:1167-1179
N Engl J Med 2012;366:120-129

 

2024年6月30日 星期日

2024 美國心律醫學會見聞之一

        繼2018年後, 今年五月份美國心律醫學會(HRS)終於又在波士頓舉辦。該地區學風鼎盛,有眾多知名學府,林醫師也相當期待舊地重遊, 並觀摩學習最即時的心臟電生理學新知。 幾天的會議下來收穫甚多,無法一一詳述,僅分享某些重點。   

    這幾年心臟電生理界最熱門的話題莫過於電場脈衝式電燒(Pulsed Field Ablation,PFA)。應用在心房顫動病人上,可以在1個小時之內,完成傳統熱能電燒3-4小時的效果。 第一天就有一個整日的PFA研討會。目前PFA的器材可說是百家爭鳴, 從最早上市的Boston FARAPULSE™, 到其他家的Medtronic Affera™,Biosense Webster VARIPULSE™ ,Abbott Volt™ ,形狀從花瓣狀(FARAPULSE™)、球狀(Affera™、Volt™),到環狀(VARIPULSE™); 電燒範圍從可以大範圍肺靜脈開口電燒(FARAPULSE™、VARIPULSE™ 、Volt™),到點狀電燒(Affera™)(圖1.)。都有專家分享使用經驗。對於肺靜脈隔離的急性隔離效果,各家都有98%以上。 對於各種形式的心房顫動,電燒一年以後,個別都60-80%的維持效果。重要的是沒有食道損傷,沒有永久性橫隔膜神經損傷的案例。近年來大家開始考慮到併發症的問題。比如因為溶血而造成的急性腎損傷。歐洲有收集68個病患的研究。 結果發現如果是過多的PFA電燒槍數,比如大於70槍, 就是可能會溶血的預測因子。 溶血之後的血紅素代謝物,可能引起急性腎損傷。至於到急性腎損傷的比例有多少?其實PFA比例,還比冷凍氣球或傳統電燒方式要低(個別為1.0%, 1.8%, 4.3%)。這次HRS也有相關的論文摘要海報,顯示如果PFA導管能夠確實接觸心肌,游離血紅素就會比較少,也就是較少溶血。與會專家推測其原因, 可能是沒有接觸心肌的電極放電,電場會傳到血液中,可能會震碎紅血球細胞膜導致溶血。2024年4月後台灣可核准使用,導管的自費價格可能約32萬左右但是最好配合全身麻醉,因為疼痛感會宛如被電擊一般。每一種高科技的產品都是無數專業人員的研發努力。要應用在人體上的醫療產品,還必須經過嚴格的三期臨床試驗。林醫師尊重任何專業醫療產品的訂價權利。能夠增加效果,同時又能減少手術時間,減少併發症的醫療科技,都是好事。


圖1.


    
      那PFA導管和心肌的接觸好壞與否,是否會影響電燒效果?的確有動物實驗顯示,PFA導管在離心肌0,2,4mm處放電,都能造成心肌電燒效果。離心肌越近,電燒疤痕的深度與寬度,也隨之線性增加。那要如何確認接觸心肌? 現場轉播的手術示範病例普遍都使用心腔內超音波(Intracardiac Echo, ICE)確認(圖2.)。可以直覺的看到導管在心臟內的位置,減少各式併發症,健保有條件部分給付,收費價格約7-12萬不等。而Abbott Volt™的球狀導管有接觸感應功能,可以選擇僅有接觸好的電極進行電燒,減少不必要的放電(圖3)。此外,已有拿PFA來做肺靜脈以外的電燒,但最好要配合各家立體定位系統確認位置。甚至還應用在上腔靜脈隔離。那竇房結會受影響嗎?Dr. Vivek Reddy表示他只有碰到過一個膈神經麻痺的病例,但是10分鐘之後就自動恢復了。 另外,也有同時做PFA電燒和左心耳封堵器置放的病例, 時間一定較RFA節省。但是建議先作肺靜脈隔離再放封堵器,因為封堵器的金屬結構會影響PFA導管放電。還發生一個小插曲, 有一個現場轉播的手術示範病例,一槍PFA後就心跳停止,幸好趕快電刺激,才又慢慢恢復心跳。 這種暫時的心肌停止跳動也是PFA可能的併發症之一,不可不慎。


圖2.


圖3.


    來到HRS,一定要看看最新的研究發表late clinical breaking trials. 今年的特色是:每一個研究發表演講後,隨即有另一個專家上台講評,讓與會者即時聽到不同面向的思考。篇幅有限,林醫師僅提及印象最深的兩個。

     其一為TAILORED-AF study。持續過一年以的持續性心房顫動,除了肺靜脈隔離之外,一直沒有其他更有效的電燒標的。 該研究以在高密度定位導管上,特殊定義的Spatio-temporal Dispersion訊號為基礎(圖4),將這些訊號經由人工智慧系統學習後(VOLTA),將這些認定可能是有效的訊號,作為肺靜脈隔離之外的電燒標的。將持續性心房顫動病人隨機分派為兩組, 一組僅有肺靜脈隔離(183人), 一組是電燒這些特殊訊號+肺靜脈隔離(187人)。 結果令人驚艷,特殊訊號組在電燒過程中,有66%的人心房顫動就停止了。追蹤12個月之後,沒有心房顫動的比例,特殊訊號+肺靜脈隔離組:肺靜脈隔離組是88%:67% 。用這種方式電燒第1次後,就算復發, 心房頻脈的形式比較多,相對電燒就較容易。近一步次分析看來,對於一次心房顫動發作時間,就持續達6個月以上的人,更是有效。 之後講評的專家也正面看待這個trial,但是也提出其他看法:1. 每個人工智慧系統都不同,並不穩定,有沒有可能以後資料更多,又有不同的結果?2. 希望能看到更進一步的次分析,能確實找出最適合這種電燒方式的病人。


圖4.



參考資料

https://doi.org/10.1093/europace/euae134

https://doi.org/10.1016/j.jacc.2009.01.071

Europace (2024) 26, 1–9

https://www.heartrhythmjournal.com/article/S1547-5271(24)02373-7/fulltext

2024 HRS abstract AB-482898-002

https://www.ahajournals.org/doi/epub/10.1161/CIRCEP.122.011110

J Am Coll Cardiol. 2017 January 24; 69(3): 303–321

J Cardiovasc Electrophysiol. 2022;33:2250–2260

European Heart Journal (2017) 38, 1339–1344



2024年3月18日 星期一

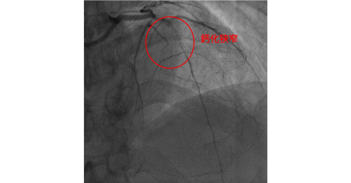
冠狀動脈嚴重鈣化狹窄,可以電燒?

    65歲的龍先生,之前一天需要抽1-2包菸,抽了近30年。3年前心肌梗塞,發現是右冠狀動脈的血栓完全阻塞,和左前降支的嚴重鈣化狹窄。 右冠狀動脈的支架順利地放好了,但是左前降支只能勉強將導絲通過,因為鈣化狹窄太厲害, 連只有1.5mm直徑的氣球都過不去。 於是暫且先處理到這個地步,接下來林醫師嚴格控制龍先生的三高, 也特別強調鹽分和水分控制, 這三年下來除了體力差一點之外,平常工作生活也都可以。 但是前一陣子寒流來的時候, 龍先生卻因為肺水腫住院, 心臟超音波之下,左心室射出分率從50%左右降到35%。 左前降支所供應的左心室前壁和心室中隔肌肉明顯地收縮特別無力。 左前降支如果打通應該對心臟功能會有幫助。 但是有鑒於上次的經驗, 要打通勢必須要額外的工具,還可能有有些許風險。



驚險的過程


   這一次林醫師也特別和國內專精與冠狀動脈慢性完全阻塞的專家跨院合作, 一起上台,希望能給病人最好的治療。 一開始就發現左前降支的鈣化依舊厲害(圖1.)。這次一樣勉強的用特殊導絲(Fielder XT-R)通過了左前降支的鈣化狹窄處,但是這次即使用上的特殊的旋轉導管(Corsair-Pro)還是沒有辦法將任何氣球通過。 於是專家想出了一招, 就是在 冠狀動脈鈣化狹窄處用電燒!



圖1.





    冠狀動脈左前降支中段最多不過直徑2.75到3.0mm, 不可能使用心律不整的電燒管(最少直徑4mm)伸入冠狀動脈。 這罕見的做法是最早於2016年在國際期刊上提出的:冠狀動脈導絲於體外夾上個金屬鉗,再接上外科電燒機電刀(圖2.)。 電刀一開動,電能和熱能就會經由導絲傳到冠狀動脈鈣化處,將鈣化地方震裂, 打開一些空間可以讓其他工具穿過血管。 這個方式有點驚險, 如果能量太大可能會讓血管破裂必須緊急開刀,



圖2.



   電刀開動三次之後,病人已經覺得胸痛了,於是我們只好停下。 接下來發現鈣化處被震出兩條細微通道(圖3.)。經過小心地操控,這次總算可以將一般導絲穿過鈣化狹窄處。 由於這個鈣化十分厲害,我們決定使用冠狀動脈內的螺旋鑽頭(圖4.),將鈣化處磨開。 原理類似牙醫用來鑽磨牙齒的鑽頭, 只是這個鑽頭更小更細緻可以深入血管內。



圖3.



圖4.



    由於此處鈣化厲害, 我們使用1.25 mm的鑽頭,還必須使用到第二個才磨過去(圖5.),轉速最高高達每分鐘30萬轉(一般到每分鐘20-25萬轉左右)。最後血管狹窄終於被磨開出一條較寬的路徑(圖6.)



圖5.



圖 6.



    接下來 使用血管內超音波,看清楚血管內的狀況,決定支架的長度和大小。 當血管超音波看到鈣化旋磨之處時,大家嚇出一身冷汗。因為在超音波下鈣化磨開處,下方只剩下一層血管內皮而已,差一點點血管就磨破了(圖7.)。 接下來連續的氣球擴張和架支架就順利多了。 最後總算將血管通路漂亮的重建起來。(圖 8.)這一次的冠狀動脈介入治療完全用右手腕的撓動脈介入,病人做完之後就可以做起來喝水。如果是以往的鼠蹊部股動脈介入,病人起碼要躺6-8小時



圖7.



圖8.



後記

   

   現在冠狀動脈介入的工具相當發達。 許多20年前必須開刀手術才能解決的血管問題,現在都可以經由導管方式處理。 如果有冠狀動脈的問題, 最好都要能跟心臟科專科醫師進行詳細的討論,評估風險之後, 依據個人狀況選擇最適合的治療。

    








Ref.

JACC: CARDIOVASCULAR INTERVENTIONS 2016; VOL. 9, NO.22:2356–8

https://www.drgeorgetouma.com.au/coronary_procedures

J INVASIVE CARDIOL 2020;32(2):55-57.

 

2024年1月27日 星期六

心房顫動電燒後復發,能更有效處理嗎?

    60歲的楊先生,兩年前做過心房顫動電燒手術。 這半年來, 每隔兩三天就間歇性的發作心跳加速,每次大約10幾分鐘,然後接下來伴隨突然無力頭暈約10秒才恢復。 經過24小時心電圖的檢查,原來是心房顫動及撲動又發作, 而且發作結束時, 會心跳暫停約3到5秒,接下來正常心跳才會出現(圖1.),1天有10次。 這也就是他為什麼會先心悸,而後就突然無力頭暈的緣故。 因為如此甚至不敢去運動,不敢自行開車。他決定再接受一次電燒手術, 希望能將心房顫動進一步解決。


圖1.



為何電燒之後,心房顫動仍會復發?


    目前陣發性心房顫動電燒術或冷凍消融術的立即成功率可達95%以上,1年後的維持率,約80 %,部分病人也許有必要作第2次燒灼術來控制心房顫動。而燒灼術在持續性心房顫動的病人長期復發率較高,大約有50%。但經過 2-3 次燒灼術後,長期的維持率也可達 60-70%。楊先生仍屬於陣發型階段,但是復發的相關症狀很不舒服,所以還是想要再做一次,希望能不要復發,維持生活品質。 

     

     而電燒之後,最有可能的復發原因,就是之前的電燒隔離不完全,使肺靜脈的的放電點仍能突破出來影響整個心房。所以,第一步必須先在左心房仔細定位,收集訊號,看肺靜脈周圍是否電燒隔離乾淨, 是否有電位重新連結,使肺靜脈能放電出來。



要用何種工具能快速有效確認肺靜脈周圍是否隔離乾淨?


   目前健保給付的定位導管是10極環形導管(圖2.)。 為了能更有效地定位標記肺靜脈周圍的電位訊號,希望能更有效地找出漏洞, 和楊先生討論之後,決定使用自費的高精密度定位八爪導管(圖3.)。 這高精密度導管有8根爪子,每個爪子上有6個導極,總共有48個導極。跟傳統10極環形導管,比起來可以減少50%的定位收集時間,而且雜訊也更少。 這隻導管自費大約10萬元左右。



圖2.

圖1.


圖3.





電燒過程


   病患剛上台的時候,是正常竇性心律。 用高精密度八爪導管在20分鐘之內,總共收了8600個點(同樣時間用10極環形導管在左心房只能收約600點,效率和精細度增加10倍以上),把左心房建模完成, 並將竇性心律時的電位走向標記清楚(如影片4,圖4.)。 影片中可以看到有電位從右肺靜脈上方箭頭處鑽進去, 這表示上次的電燒處又復發,電位又重新連結了。 林醫師只在這邊電燒2槍, 馬上肺靜脈內的電位消失了(圖5.)。 楊先生的左邊肺靜脈電位仍然是空的(如圖6. 紅色表示電位消失,不會放電)。 所以林醫師只是把右邊的肺靜脈的可能漏洞處再度加強電燒, 最後一定要達到左右肺靜脈的電位都是消失的,才表示成功。



影片4.



圖4.


圖5.


圖6.


   左心房電燒完成,要去右心房做進一步檢查時,過程之中誘發了心房撲動。 八爪導管在5分鐘內收了7600點 (同樣時間用10極環形導管在右心房只能收約500點) 將右心房建模定位完成, 也把心房撲動時的電位走向標記清楚,確定是右心房下方之前的電燒處,又有電位重新連結了(如影片7,圖7)。於是將該處再度電燒,電燒過程中,心房撲動就停止了,也恢復正常竇性心律。總共的電燒時間比上次足足少了1個小時。



影片7.



圖7.



後記


    手術完成後兩週回診,楊先生相當高興,因為再也不會突然間無力頭暈了,也敢去運動和開車了。林醫師建議,在經濟能力許可之下,如果能用比較先進的器材,增進手術的效率和安全性,其實對病患和醫生,都是好事啊!



   




Reference:

https://www.jnjmedtech.com/en-US/product/octaray-mapping-catheter-trueref-technology